ВХОД ДЛЯ ПАЦИЕНТОВ
вверх
поиск
админ
главная
исходное
последующие
|
Re: Псевдартроз грудины
послал Djoldas Kuldjanov 02 Апрель 2009, 22:55
|
"классический" остеосинтез проволокой, иногда подкладываю шайбы, чтобы не прорезалась
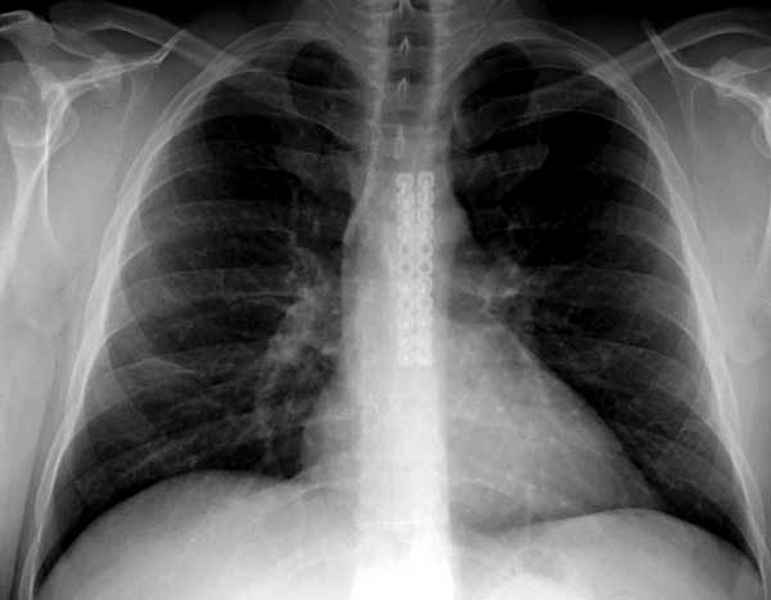
Юра, интересно, насколько такой остеосинтез контролирует степень репозиции, а то у меня имеются снимки девочки 11 лет, направленной ко мне на консультацию из одной из республик бывшего союза.

После торакальной операции, по-видимому, сильно натянули проволоку, и в результате получился захлест отломков в друг друга.
Оперировавший хирург предлагает подождать, а родителей беспокоит проблема прогрессирующей ассиметрии лица, как при кривошее.
С такими продольными несращениями мне не приходилось иметь дело, поэтому направил в один из центральных институтов детской ортопедии России.
А простые посттравматические ложные суставы грудины приходилось оперировать с ограничителем сверла и с фиксацией 2.4 мм пластинами с угловой стабильностью.
Djoldas Kuldjanov, MD
Department of Orthopedic Surgery
St. Louis University Medical Center
|
| Послать ответ |
Обратите внимание: Поля с жирными названиями обязательны.
Старайтесь отвечать в рамках обсуждаемой темы, а не начинать новые обсуждения.
Указывайте адекватную тему сообщения, чтобы было ясно, о чем оно.
Не послайте сообщений не по теме (оффтопик), раздраженных, грубых или обидных комментариев. Здесь это неуместно.
|