вверх
отправить
поиск
админ
главная
|
Демонстрация пациента с переломом плечевой кости |
 |
 |
 |
Отправлено Pavel Ivanov 26 Сентябрь 2007, 08:07
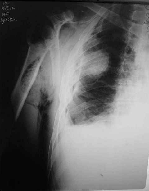
Уважаемые коллеги. Недавно из нашего отделения был выписан пациент 54 лет с закрытым переломом плечевой кости. Из анамнеза: за 2 дня до поступления в НИИСП, в состоянии алкогольного опьянения упал с лестницы на даче (высота 3-4 метра) с упором на правую руку. Через двое суток обратился за медицинской помощью. Доставлен бригадой "Скорой помощи".Правый плечевой сустав умеренно деформирован. По внутренней поверхности плеча имеется кровоподтек. При пальпации плечевого сустава имеется умеренная болезненность. Активные и пассивные движения болезненные. Снижена чувствительность по тыльной поверхности пальцев кисти и отсутствует активное разгибание кисти и пальцев. Имеется подкожная эмфизема шеи, верхней половины грудной клетки (рис 1, 2). На рентгенограмме: оскольчатый перелом головки плечевой кости со значительным смещением, перелом 2-3 ребер справа, тканевая эмфизема (рис 3). КТ при поступлении: перелом головки плечевой кости в области анатомической шейки со смещением отломка головки в грудную полость, правосторонний гидроторакс, перелом 2-3-4 ребер справа. (рис 4). Через двое суток после поступления выполнена операция: атипичная торакотомия, эвакуация свернувшегося гемоторакса, удаление инородного тела (головки плечевой кости) из плевральной полости (при этом выявлено имеющееся повреждение париетального и висцерального листков плевры) (рис. 5), дренирование плевральной полости, замещение проксимального конца плечевой кости спейсером из костного цемента с антибиотиком (рис. 6). Послеоперационный период протекал гладко. При контрольной рентгенографии положение спейсера удовлетворительное (рис. 7, 8). Дренаж из плевральной полости удален через 3 суток после вмешательства. Послеоперационная рана зажила первичным натяжением. Через 12 дней после операции больной выписан на амбулаторное лечение.
Через 3 месяца планируется повторная госпитализация для выполнения эндопротезирования правого плечевого сустава. Похожий, но менее тяжелый, случай был показан в 2004 году на сайте журнала J Bone Joint Surg Am. (http://www.jbjs.org/Image_Quiz/2004/may04/iqmay04_p1.shtml).
Best regards, Pavel Ivanov Sklifosovsky Clinical and Research Institute for Emergency Medicine Polytrauma Department 3, Bolshaya Sukharevskay sq. Moscow, 129090 Russia
<
|
>
|
|
Ответить
|
Re: Демонстрация пациента с переломом плечевой кости
Djoldas Kuldjanov, M.D. 26 Сентябрь 2007, 17:28
|
Павел,
Спасибо за презентацию, прекрасное тактическое решение.
Поздравляю.
Джолдас
|
[
Ответить ]
|
Re: Демонстрация пациента с переломом плечевой кости
Александр Ситник 26 Сентябрь 2007, 21:42
|
Уважаемый коллега,
случай действительно интрересный, но есть пара тактических вопросов для обсуждения:
- что с бугорками плечевой кости - фиксировали ли их ?(по рентгенограмме создается впечатление, что большой бугорок находится под акромионом)
- что мешало использовать в качестве спейсера свою же головку?
- если есть технические возможности протезирования - почему только через 3 месяца, а не сразу? - результаты отсроченного протезирования плеча, спустя месяцы после травмы, гораздо хуже, чем в "свежих" случаях.
С уважением
А.Ситник
|
[
Ответить ]
|
Re: Демонстрация пациента с переломом плечевой кости
Александр , ЦРБ 26 Сентябрь 2007, 22:36
|
Спасибо за интересную презентацию!Можно искренне позавидовать людям занимающимся настоящей работой,и порадоваться за пациентов попавших к вам.А кое где в областных центрах больных с вывихами акромиальных концов ключиц лечат консервативно,и больные с повреждениями крестообраз.связок плавно инвалидизируются без операций,что уж говорить о подобных вмешательствах...
|
[
Ответить ]
|
Re: Демонстрация пациента с переломом плечевой кос
Pavel Ivanov 26 Сентябрь 2007, 22:36
|
Джолдас
спасибо за теплые слова и поддержку.
|
[
Ответить ]
|
Re: Демонстрация пациента с переломом плечевой кос
Pavel Ivanov 28 Сентябрь 2007, 00:56
|
Уважаемые А. Ситник и Александр, здравствуйте.
Вы писали:
> > - что с бугорками плечевой кости - фиксировали ли их ?(по рентгенограмме
> > создается впечатление, что большой бугорок находится под акромионом)
Я абсолютно согласен с Вами. Бугорки мы не выделяли и не фиксировали. Дело в том, что основная линия перелома проходит по анатомической шейке. И ниже нее кость повреждена, но существенного смещения осколков и бугорков до и во время операции не отмечено (прилагаю первичный снимок лучшего качества - рис. 1).

Интраоперационно было установлено, что осколки находятся примерно на своих местах и плотно связаны с окружающими тканями. Мы не стали их выделять, мобилизировать и фиксировать, так как это все равно будет необходимо сделать при установке эндопротеза.
В качестве дополнения: мы считаем, что спейсер не заменяет головку вместе с бугорками, а лишь временно заполняет свободное пространство в тканях.
> > - что мешало использовать в качестве спейсера свою же головку?
Этот вопрос, извините, я не понял.
> > - если есть технические возможности протезирования - почему только через
> > 3 месяца, а не сразу? - результаты отсроченного протезирования плеча,
> > спустя месяцы после травмы, гораздо хуже, чем в "свежих" случаях.
Технические возможности эндопротезирования у нас были. Правда не было эндопротеза.
Еще одной причиной было наличие у больного осложненных переломов ребер. Эту патологию у нас в отделении знают неплохо, так как мы практически ежедневно сталкиваемся с осложненными переломами ребер как в составе сочетанной травмы, так и при изолированных травмах груди.
Из протокола операции: "В плевральной полости до 500 мл старой крови, преимущественно в виде сгустков. Легкое коллабировано сгустками, находится в состоянии гиповентиляции. Отмечено высокое стояние диафрагмы (до 5-го межреберья). В S2 верхней доли легкого, в проекции переломов ребер имеется субплевральная ненапряженная гематома 3х4 см. Имеется рана висцеральной плевры размератми 1х2 см *. Через рану грудной стенки (в нее выстоят отломки ребер и при ревизии свободно проходят 3 пальца) и париетальной плевры полость плечевого сустава сообщается с плевральной полостью **… Произведено дренирование плевральной полости однопросветной силиконовой трубкой ***."
* - именно через нее вдыхаемый воздух поступал в мягкие ткани, в том числе и параартикулярно, что видно на снимке и на результатах КТ;
** - эту рану зашить или прикрыть чем-либо не представлялось возможным, да мы и не ставили такой задачи.
*** - ожидаемый срок нахождения дренажа в плевральной полости – 5-7 суток.
После операции мы не исключали развитие пневмоторакса, плеврита, гемоторакса или эмпиемы плевры. Поэтому мы посчитали возможным заместить дефект плечевой кости спейсером с антибиотиком, а эндопротезирование выполнить в «чистых» условиях.
own> Спасибо за интересную презентацию!Можно искренне позавидовать людям
own> занимающимся настоящей работой,и порадоваться за пациентов попавших к
own> вам.А кое где в областных центрах больных с вывихами акромиальных концов
own> ключиц лечат консервативно,и больные с повреждениями крестообраз.связок
own> плавно инвалидизируются без операций,что уж говорить о подобных
own> вмешательствах...
own> Александр , ЦРБ
Александр, спасибо за столь высокую оценку. Нисколько не сомневаюсь, что и нам есть чему у Вас поучиться. Для иллюстрации прилагаю сегодняшний снимок с нашего обхода в шоковом зале реанимации (рис. 2).

Best regards,
Pavel Ivanov
Sklifosovsky Clinical and Research Institute for Emergency Medicine
Polytrauma Department
3, Bolshaya Sukharevskay sq.
Moscow, 129090 Russia
|
[
Ответить ]
|
Re: Демонстрация пациента с переломом плечевой кости
сергей 28 Сентябрь 2007, 23:24
|
а во время обхода вы обратили внимание, что груз вытяжения стоит на койке?
|
[
Ответить ]
|
( Ответить )
|
|