Ответить
|
Re: Операция на переднем полукольце таза при налич
Bruce Ziran 31 Май 2007, 20:28
|
This has been a dilemma for me. I have done it but have used absorbable antibiotic beads (CaSu + tobra + vanco) and then cover with atb for a longer period. I would expect a higher but still acceptable rate of infection and then be prepared to remove hardware when healed. I would be interested in others views.
Bruce H. Ziran, M.D.
Director of Orthopaedic Trauma
St. Elizabeth Health Center
Associate Professor of Orthopaedic Surgery
Northeast Ohio Universities College of Medicine
|
[
Ответить ]
|
Re: Операция на переднем полукольце таза при налич
Отправитель: Dan Schlatterer 04 Июнь 2007, 17:25
|
hello to all,
pelvic ex-fix is a good option in these situations. in dwelling catheters for any lengthy time period are significant risk for infections (including foley catheters placed for weeks for urethral injuries). resorbable beads develop a fluid which is hard to interpret in terms of the "drainage" they can produce. the fluid always looks like infection although it may just be the beads resorbing. the infection is from the catheter and placing antibiotics around the plate may
help locally but will not prevent infection since the origin/pathway is remote from the surgical site. I have a case myself currently where a pt initially had a suprapubic catheter for 5 days and then urology exchanged for a foley catheter (pt had a urethral tear and APC II pelvis). I placed a supra-acetabular pelvic ex-fix at admission to close the pelvis. a week after the suprapubic catheter was removed I went back and plated the pubic symphysis. 4 wks later the pt returned to the office with very cloudy fluid in the foley and drainage from the pubic incision. urology says the foley got clogged and caused urine to come out of the urethral tear and into my surgical area.
so now I am comfronted with an infection of the pubic region. so to me in dwelling catheters for lengthy time periods are risky. it sounds as if the matta group has a different experience which we would be interested in hearing more about. thanks
dan schlatterer
|
[
Ответить ]
|
Re: Операция на переднем полукольце таза при налич
Отправитель: Bruce Ziran 04 Июнь 2007, 17:27
|
The absorbable beads are osmotic and may develop a seroma. We are publishing such in J Trauma, in galleys now, but having said that, the seroma can be prevented/controlled. THe one thing for sure in this situation is that one must accept that by definition, the space of Retzius and any metal in this area will be colonized with bacteria. On the other hand, colonization does not equal infection. For that reason, even if a SP catheter is changed, all that does is lower the CFU load available to colonize or infect the tissue bed. It is like fighting terrorists in the mountains and caves. They hide all over and no matter how much one bombs, napalms or whatever, there is always some left behind to re-colonize. I would suspect that even so, the reason Matta has such good results is that the true infection rate is still low. Unfortunately, with infection, the incidence is so low, that the numbers required to get a sufficiently powered analysis is too large. Imagine in their series if they have 25 without infection, but the 26th is the one that gets it. That is a 4% rate, as compared with an expected 1% incidence. While 400% greater infection rate, it is still low enough to consider doing.
I would agree with dan but beleive the matta approach is quite reasonable.
Also, consider that a pelvic ex fix is quite difficult to maintain. I am a big fan of exfix and frames, but I hate pelvic fixators and have not had good success with the pins for longer periods. I like the idea of trying to get rid of the SP altogether and changing to a foley if possible. But if forced to place anteriorly, I would use ATB beads.
Bruce H. Ziran, M.D.
Director of Orthopaedic Trauma
St. Elizabeth Health Center
Associate Professor of Orthopaedic Surgery
Northeast Ohio Universities College of Medicine
|
[
Ответить ]
|
Re: Операция на переднем полукольце таза при налич
Отправитель: Lois Ann Nichols 04 Июнь 2007, 19:13
|
How can the seroma be prevented/controlled?
Lois Nichols
|
[
Ответить ]
|
Re: Операция на переднем полукольце таза при налич
Отправитель: Bruce Ziran 04 Июнь 2007, 19:14
|
Limit the amount of beads, nice closure (multi-layer if possible), and use of drains. It is not fool proof, and despite the issues we have with CaSu, we still use them for atb delivery in cases where the risk of infection in a colonized tissue bed is greater than the problems of CaSu.
Bruce H. Ziran, M.D.
Director of Orthopaedic Trauma
St. Elizabeth Health Center
Associate Professor of Orthopaedic Surgery
Northeast Ohio Universities College of Medicine
|
[
Ответить ]
|
|
Re: Операция на переднем полукольце таза при налич
David Zamorano 31 Май 2007, 20:30
|
I'm currently working on a manuscript with Dr. Matta on this topic. his protocol which i use now is to prep the SP catheter into the field, do your normal approach, repair bladder as indicated and place a new SP catheter or foley.
no other special measures
no infections in 19 patients
dave
David P. Zamorano, MD
Assistant Chief, Orthopaedic Trauma Service
Dept. of Orthopaedic Surgery
Harbor/UCLA Medical Center
|
[
Ответить ]
|
Re: Операция на переднем полукольце таза при налич
Отправитель: Alexaander Chelnokov 04 Июнь 2007, 17:23
|
DZ> topic. his protocol which i use now is to prep the SP catheter
DZ> into the field, do your normal approach, repair bladder as
DZ> indicated
Can you pls add some details? What do you mean as "prep the SP catheter into the field"? What bladder repair do you mean? Is it temporary closure of the fistula and re-opening it again after closure of the
"orthopaedic" aproach?
|
[
Ответить ]
|
Re: Операция на переднем полукольце таза при налич
Отправитель: David Zamorano 04 Июнь 2007, 17:45
|
Alexander,
here are some more details:
What do you mean as "prep the SP catheter into the field"?
the suprapubic catheter is clamped and disconnected from the collection bag. It is then scrubbed and prepped and draped into the field. We then do an ilioinguinal or Pfannenstiel depending on the fracture.
What bladder repair do you mean?
usually the bladder has been repaired already but some times it has not been or it has been repaired inadequately. The typical scenario is a patient who is transferred from another hospital for definitive care for their pelvic fractures. Often they have an emergent ex-lap by the general surgeons and a suprapubic catheter placed by the urologist but don't have an orthopaedist to fix the pelvis. When we do our approach, we inspect the bladder and if it needs to be repaired, the urologist does this.
Is it temporary closure of the fistula and re-opening it again after closure of the
>"orthopaedic" aproach?
the fistula is allowed to heal on it's own and the new catheter is placed through a "clean" site in the skin. sometimes a catheter is not needed and a foley can be placed. if there is a urethral repair that is needed, this is done at another time by the urologist
hope this helps
Dave
|
[
Ответить ]
|
Re: Операция на переднем полукольце таза при налич
Отправитель: Alexander Chelnokov 04 Июнь 2007, 19:05
|
THX for your expalanation.
> bag. It is then scrubbed and prepped and draped into the field. We
> then do an ilioinguinal or Pfannenstiel depending on the fracture.
Got it.
> transferred from another hospital for definitive care for their
> pelvic fractures. Often they have an emergent ex-lap by the general
> surgeons and a suprapubic catheter placed by the urologist but don't
> have an orthopaedist to fix the pelvis.
Our most typical scenario.
> When we do our approach, we inspect the bladder and if it needs to
> be repaired, the urologist does this.
The difference is that we don't have urologists avalaible. And more often the tube is in place because of urethra injury.
>not needed and a foley can be placed. if there is a urethral repair
>that is needed, this is done at another time by the urologist
This case is most actual - in case of further delayed urethral repair the "old" SP tube also should be removed and new one incerted through the intact skin after the ORIF? THX again.
|
[
Ответить ]
|
Re: Операция на переднем полукольце таза при налич
Отправитель: Chip Routt 09 Июнь 2007, 13:47
|
Sorry to be late...here’s an old reference.
Chip
Internal fixation in pelvic fractures and primary repairs of associated genitourinary disruptions: a team approach.
Routt ML, Simonian PT, Defalco AJ, Miller J, Clarke T.
Harborview Medical Center, Department of Orthopaedic Surgery, Seattle,
Washington 98104, USA.
Associated urological and orthopedic injuries of the pelvic ring are complex with numerous potential complications. These patients are treated optimally using a team approach. The combined expertise is not only helpful initially when managing these difficult patients, but also later as problems develop.
This study describes a treatment protocol and reports the early results of 23 patients with unstable pelvic fractures and associated bladder or urethral disruptions, or both, treated surgically with open reduction and internal fixation of the anterior pelvic ring injuries at the same anesthetic and using the same surgical exposure as the urethral realignments or bladder repairs or both. Early complications occurred in four patients (17%): one patient sustained a fifth lumbar nerve injury caused by the pelvic reduction procedure, and three patients had anterior pelvic internal fixation failures. Late complications occurred in eight patients (35%).
There was one deep wound infection (4.3%) that presented 6 weeks after injury. Late urological complications occurred in seven patients (30%). Four of the nine male patients with urethral disruptions had urethral stricture after their primary urethral realignments (44%). Three of the 18 male patients admitted to impotence (16.7%). One of the three had a residual thoracic paraplegia caused by a burst fracture. One of the five female patients had urinary incontinence and required a bladder suspension operation to restore normal function (20%). A low infection rate can be
expected despite the use of internal fixation. Early urethral "indirect" realignments avoid more difficult delayed open repairs; however, late urological complication rates are still high. Early "direct" bladder repairs are easily performed at the time of anterior pelvic open reduction and internal fixation. Suprapubic tubes are not necessary to adequately divert the urine when large diameter urethral catheters are used in these patients.
|
[
Ответить ]
|
|
Re: Операция на переднем полукольце таза при наличии надлобкового свища?
vit 01 Июнь 2007, 01:52
|
уважаемый Д-р Alexander Chelnokov, неужели Вы считаете , что предоставленая Вами информация достаточна для принятия хоть какого-то решения? будьте любезны, сформулируйте предварительный диагноз, на основании которого Вы определите показания к необходимости расходования седств как минимум на инструментальные исследования. "анамнестические данные" , включенные в окончательный диагноз, возможно , сыграют не последнюю роль в обосновании хирургической тактики
|
[
Ответить ]
|
Re: Операция на переднем полукольце таза при налич
Отправитель: Alexander Chelnokov 01 Июнь 2007, 10:50
|
Видимо, Вы ошибочно ответили не в ту дискуссию. Сейчас перенесу в тему "Вертлуга".
|
[
Ответить ]
|
Re: Операция на переднем полукольце таза при налич
Отправитель: vit 05 Июнь 2007, 06:54
|
Уважаемый, Dr.Alexander Chelnokov, совершенно напрасно Вы утруждали себя переносом данного ответа в другую тему( вертлуга). Я просил Вас уточнить, в результате чего у пациента имеется цистостома?
-В результате внутрибрюшинного разрыва мочевого пузыря?
-В результате внебрюшинного разрыва мочевого пузыря?
-В результате разрыва уретры?
-В результате травмы позвоночника с нарушением проводимости спинного мозга, нарушением функции спинного мозга по типу задержки мочи?
-В результате тампонады мочевого пузыря?
-В результате сочетания повреждений?
какие сроки после травмы? что было уже выполнено?
в простонародье это называется "диагноз", в зависимости от которого принимаепся решение о дальнейшей тактике.
|
[
Ответить ]
|
Re: Операция на переднем полукольце таза при налич
Отправитель: Alexander Chelnokov 05 Июнь 2007, 07:12
|
Прошу прощения, я полагал, что мой вопрос очевидно не подразумевает какого-то одного конкретного пациента. А касается нередкой ситуации, когда через 2-4-6 недель после травмы встает вопрос об остеосинтезе таза, а у пациента при этом стоит цистостома, обычно это разрыв уретры. Для операций на тазе пациента переводят (или хотят перевести) к нам. Своего уролога у нас нет. Урологи в тех больницах, куда мы можем такого пациента перевести, не хотят заниматься реконструкцией мочевого тракта до восстановления скелетной анатомии, и не любят брать пациентов с аппаратами на тазу. Ортопедам неуютно оперировать на переднем полукольце с рядом расположенной цистостомой. Отсюда и интерес - как кто выходит из положения. Надеюсь, теперь контекст проблемы более ясен. Спасибо.
|
[
Ответить ]
|
Re: Операция на переднем полукольце таза при налич
Отправитель: vit 05 Июнь 2007, 08:58
|
> касается нередкой ситуации, когда через 2-4-6 недель после травмы встает вопрос об остеосинтезе таза, а у пациента при этом стоит цистостома, обычно это разрыв уретры.
восстановление целостности уретры - вопрос "холодного периода" (в рекомендациях "наших" урологов пациентам указываются сроки от 6 мес.). по просшествии 4-6 недель после травмы, при наличии значительных смещений, достичь одномоментной репозиции бывает очень сложно. при сроках до 3-4 недель - риск послеоперационных инфекционных осложнений остается крайне высоким. на-мой взляд предпочтительнее продолжить лечение переломов костей таза в КДА, выписать пациента с КДА и цистостомой на амбулаторное лечение, с соответствующими рекомендациями о выполнении оперативного пособия по восстановлению уретры после демонтажа КДА в плановом порядке.
по всей видимости, урологов интересует не столько идеальное восстановление взаимоотношений в переднем полукольце, сколько отсутствие патологической подвижности в данной зоне и вероятности вторичной травматизации восстановленной уретры.
|
[
Ответить ]
|
Re: Операция на переднем полукольце таза при налич
Отправитель: Alexander Chelnokov 06 Июнь 2007, 01:46
|
v> остается крайне высоким. на-мой взляд предпочтительнее продолжить
v> лечение переломов костей таза в КДА, выписать пациента с КДА и
Где так можно сделать - ессно, так и делается. Я спрашиваю про тех, где такой вариант не устраивает.
v> по восстановлению уретры после демонтажа КДА в плановом порядке.
Вопрос касается тех пациентов, которым аппаратная стабилизация, может, не сильно и нужна была. К примеру, большой нестабильности в задних отделах у них и не было. А вот фрагменты лонных и седалищных костей смещены значительно. И откладывание операции еще на недели-месяцы проблему грубого смещения отломков не решает.
v> восстановление взаимоотношений в переднем полукольце, сколько
v> отсутствие патологической подвижности в данной зоне и вероятности
v> вторичной травматизации восстановленной уретры.
Видимо, да. Особенно когда на месте уретры костные фрагменты. Поэтому резонно сначала восстановить скелетную анатомию, затем заниматься пластикой уретры. Что возвращает нас к исходному вопросу. А именно, как все-таки оперировать в условиях надлобкового катетера, какие есть особенности, хитрости, ловушки и способы их обойти.
|
[
Ответить ]
|
Re: Операция на переднем полукольце таза при налич
Отправитель: vit 09 Июнь 2007, 05:23
|
>Вопрос касается тех пациентов, которым аппаратная стабилизация, может, не сильно и нужна была. К примеру, большой нестабильности в задних отделах у них и не было. А вот фрагменты лонных и седалищных костей смещены значительно. И откладывание операции еще на недели-месяцы проблему грубого смещения отломков не решает.
в данной ситуации кда может быть применен и в случае стабильного повреждения костей таза для устранения грубых смещений в несвежих случаях(на это уйдет какое-то время ,которое в данной ситуации работает против инфекционных осложнений). по достижении репозиции ситуацию можно рассматривать
-1) оставить как есть и ждать консолидации, затем пластика уретры(на мой взгляд наименьший риск инфекционных осложнений,более поздние сроки восстановления уретры)
-2) в условиях одного наркоза: минимальный временный погружной остеосинтез- демонтаж кда-пластика уретры-удаление внутреннего фиксатора-кда(больший риск инфекционных осложнений, те же минимальные сроки восстановления уретры)(можно и к урологам съездить прооперировать)
-3) внутренний остеосинтез-демонтаж кда-пластика уретры(самый большой риск инф. осложнений-минимальный срок пластики)(аналогично в урологическом стационаре). в случае возникновения инф. осложнений результаты пластики, естественно, могут быть нулевыми.
если Вы непременно хотите выполнить одномоментную репозицию и внутреннюю фиксацию в относительно ранние сроки в данной ситуации, то наличие цистостомы, конечно, не является абсолютным противопоказанием.50\50.не само по себе наличие цистостомы опасно, а состояние скомпромитированной паравезикальной клетчатки. на мой взгляд в профилактике осложнений ключевое значение здесь имеет адекватное дренирование клетчаточного пространства данной области(по Мак-Уортеру, либо по Куприянову).
если у Вас есть опыт закрытой репозиции, чрескожной чрескостной фиксации переломов горизонтальных ветвей лонных костей канюлированными винтами, то это ,конечно, теоритически достойная альтернатива(прямые показания в данной ситуации). но по собственному опыту жескость подобной фиксации оставляет желать лучшего.на сроках 2 нед и > Вам для закрытой репозиции все равно понадобится кда
|
[
Ответить ]
|
Re: Операция на переднем полукольце таза при налич
Отправитель: Maxim Agalakov 09 Июнь 2007, 06:47
|
> работает против инфекционных осложнений). по достижении репозиции
> ситуацию можно рассматривать
осталось много вопросов, какие грубые смещения могут быть при стабильных повреждениях таза?
> -1) оставить как есть и ждать консолидации, затем пластика уретры(на
> мой взгляд наименьший риск инфекционных осложнений,более поздние сроки
> восстановления уретры)
ждать консолидацию чего, одним из компонентов повреждения переднего полукольца может являться разрыв лонного сочленения, с костями более-менее понятно (можно перемещать, компрессировать и т.д.)?
А что делать с лоном, в застарелых случаях почти бесполезно сближать без открытой репозиции - нестабильность
> -2) в условиях одного наркоза: минимальный временный погружной
что подразумевается? монография из ВМА?
>
[...]
> закрытой репозиции все равно понадобится кда
возможно, все логично, но, может быть есть какие-то исследования, посвященные риску нагноения и тактике лечения в таких ситуациях, если Вы ими располагаете,то не могли бы поделиться, заранее благодарен.
--
С уважением,
Маким Агалаков
|
[
Ответить ]
|
Re: Операция на переднем полукольце таза при налич
Отправитель: Aexander Chelnokov 09 Июнь 2007, 23:08
|
> осталось много вопросов, какие грубые смещения могут быть при
> стабильных повреждениях таза?
Те, которые заставляют думать об открытой репозиции и внутренней фиксации даже при наличии надлобкового катетера.
|
[
Ответить ]
|
Re: Операция на переднем полукольце таза при налич
Отправитель: Maxim Agalakov 09 Июнь 2007, 23:11
|
> Те, которые заставляют думать об открытой репозиции и внутренней
> фиксации даже при наличии надлобкового катетера.
не может быть таких смещений при стабильных повреждениях
|
[
Ответить ]
|
Re: Операция на переднем полукольце таза при налич
Отправитель: Alexaander Chelnokov 09 Июнь 2007, 23:11
|
То есть проблема операций на переднем полукольце при функционирующей цистостоме не существует. Тогда вопрос закрыт, спасибо.
|
[
Ответить ]
|
Re: Операция на переднем полукольце таза при налич
Отправитель: Maxim Agalakov 12 Июнь 2007, 02:38
|
> То есть проблема операций на переднем полукольце при функционирующей
> цистостоме не существует. Тогда вопрос закрыт, спасибо.
при стабильных повреждениях думаю не существует, там и разрывы пузыря не существуют, пожалуйста
|
[
Ответить ]
|
Re: Операция на переднем полукольце таза при налич
Отправитель: Alexander Chelnokov 12 Июнь 2007, 02:56
|
Напоминаю, обсуждение касалось трудностей и путей их обхода при операциях на переднем полукольце таза при наличии надлобкового свища. Вопрос, при каких повреждениях таза возникает повод для наложения эпицистостомы, интересный, но находится в стороне от обсуждаемой темы.
|
[
Ответить ]
|
|
Re: Операция на переднем полукольце таза при наличии надлобкового свища?
Алексей Семенистый 05 Июнь 2007, 02:37
|
Hello, Alexander!
Могу поделиться только тремя чем-то схожими наблюдениями.
1. Разрыв лона, внебрюшинный разрыв пузыря с отрывом его от уретры у 26 летнего бульдозериста. Оперирован экстренно: ушивание пузыря, дренирование пузыря через эпицистостому (урологи), фиксация лона пластиной , дренирование околопузырной клетчатки двумя дренажами (травматологи). Как оказалось, шов пузыря был несостоятелен и на 3-и сутки больной был переведен в урологический стационар, где было еще две ревизии пузыря, вскрытие мочевого затека на бедре... В общем, пластин купалась в моче, но функцию свою выполняла. Через 8 месяцев ездил к урологам: я удалил пластину, а они занимались пластикой уретры. Все это время эпицистостома функционировала рядом с пластиной.
2. Авто, 35 лет, М, 160 кг: разрыв лона, крестец, бедро, разрыв брыжейки. В области: экстренная лапаротомия, резекция тонкой кишки. На 8-е сутки переведен к нам. Через два дня остеосинтез бедра штифтом, еще через два дня ТЭЛА, перевод в сосудистое, кавафильтр, пневмония... До таза добрались к 6-ой неделе. Ex-fix, была невозможна из-за огромного живота. После нижне-срединной лапаротомии нижний угол раны гноился и так и не зажил к этому времени. Итак: фиксация симфиза двумя пластинами - гематома -ревизия - вторичное заживление раны,: Сформировался свищ с очень скудным отделяемым (MRSA). Через два года иссечен свищ, удален металл. Все зажило, бегает.
3. 45 летний шофер ремонтировал Камаз, который его и придавил: Вывих левой половины таза, разрыв промежности, разрыв прямой кишки, размозжение мягких тканей на спине от ягодичных складок до лопаток. Экстренно: вправление таза, наложение рамы Ганца; лапаротомия - выведена сигмостома в левой илиоингвинальной области. Через двое суток аппарат на переднее полукольцо, илеосакральные винты сзади, вскрытие обширной отслойки на спине. Через несколько дней стало ясно, что лечить огромную некротическую рану на спине с аппаратом спереди эффективно невозможно. К этому времени все стержни "потекли", сигмостома опорожнялась в калоприемник, на спине гнойно-некротическая рана 50х30 см. В этих условиях сняли аппарат, свинтили лоно пластиной... Зажило первично, и больной сразу пошел на поправку, ортопед ему больше был не нужен.
Думаю, риск идти на открытую репозицию лона и остеосинтез пластиной в условиях функционирующей эпицистостомы вполне может быть оправдан.
Александр, если можно чуть поконкретней о клинической ситуации: что? когда? почему?
С уважением, А.Семенистый
|
[
Ответить ]
|
Re: Операция на переднем полукольце таза при налич
Отправитель: Alexander Chelnokov 05 Июнь 2007, 06:59
|
> Александр, если можно чуть поконкретней о клинической ситуации: что?
> когда? почему?
Да это хронический вопрос, поскольку к нам в отделение поступают пациенты, или есть намерение их перевести, которые первый этап провели где-то еще, у них цистостома, и невправленный таз. Урологи не хотят длелать свои реконструкции до репозиции и стабилизации костей.
Ортопеды не хотят заниматься реконструкцией переднего полукольца таза при цистостоме. Как видно по обсуждению, вопрос актуален не только у нас.
|
[
Ответить ]
|
Re: Операция на переднем полукольце таза при налич
Отправитель: Алексей Семенистый 06 Июнь 2007, 01:25
|
> Да это хронический вопрос,... Урологи не
> хотят длелать свои реконструкции до репозиции и стабилизации костей.
И правильно делают
> Отопеды не хотят заниматься реконструкцией переднего полукольца таза
> при цистостоме.
Тоже, наверное, правильно делают.
> Как видно по обсуждению, вопрос актуален не только у нас.
Эти сочетанные повреждения только подтверждают, что лечить надо больного а не болезнь! Без командного подхода помогать таким больным сложно. В идеале все делать сразу, во всяком случае ортопедическая проблема решается быстро и просто, и больной становится больше урологическим. Это требует больше организационных мер.... А через 2-4-6... и т.д. недель ортопеду нужно видеть в цистостоме не пртивопоказания, а искать возможность, пробовать, рисковать.
С уважением, А.Семенистый.
ГКБ 13, Москва.
|
[
Ответить ]
|
|
Re: Операция на переднем полукольце таза при налич
dan schlatterer 12 Июнь 2007, 03:12
|
good morning to all,
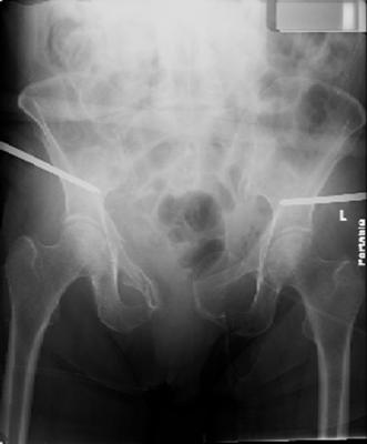
attached are images of a 70 year old female after peds versus car. her own car ran her over.
injuries are limited to the pelvis. left rami open and visible in a 10cm vertical laceration just lateral to left labia majora. wound is grossly clean. no vaginal and no urinary issues. CT scan shows widening of both SI joints anteriorly but I think this is vertically stable pattern.

pt treated that night with I/D and supra-acetabular frame to close the ring. consideration was given for SI screws bilateraly, but given time of night and other factors decision made not to proceed.
so the question is what next operatively if anything? concerns are infection, nonunion anteriorly and possible incompetence of the pelvic floor which may lead to prolapse issues. right rami are comminuted and plating may entail ilioinguinal approach to extend plate laterally to right iliac wing. retrograde screw up right rami is an option but I am not convinced it will add much. adding SI screws very doable, but major concern is restoring anterior ring. so far wound is clean and closed over a drain, and I have no plans to open it back up and wash again.
maintaining pelvic alignment in ex-fix in 70 yo female for any length of time may be challenging.
any thoughts? would anyone plate the pubic symphysis to close the gap and leave the more lateral rami fractures alone? the most recent pelvic case on this website involved pts with suprapubic catheters and antibiotic options including resorbable beads. I wonder how many people would plate and place antibiotic beads. thanks.
dan schlatterer
|
[
Ответить ]
|
Re: Операция на переднем полукольце таза при налич
Отправитель: Chip Routt 12 Июнь 2007, 04:33
|
We'd need ct images to make reasonable recs.
Chip
|
[
Ответить ]
|
Re: Операция на переднем полукольце таза при налич
Отправитель: dan schlatterer 12 Июнь 2007, 04:47
|
attached are several CT cuts. please let me know if you need more. the CT is pre-pelvic ex-fix placement.

Thank you.
|
[
Ответить ]
|
Re: Операция на переднем полукольце таза при налич
Отправитель: Chip Routt 12 Июнь 2007, 04:53
|
I wouldn't plate the front.
But I would add screws posteriorly.
Chip
|
[
Ответить ]
|
Re: Операция на переднем полукольце таза при налич
Отправитель: dan schlatterer 12 Июнь 2007, 15:40
|
excellent, I agree and that is just what I was hoping to hear. thank you.
dan schlatterer
|
[
Ответить ]
|
Re: Операция на переднем полукольце таза при налич
Отправитель: Sam Agnew 12 Июнь 2007, 04:35
|
Dan
More information is needed, please --before any realistic advice can be rendered:
What was/is her ambulatory and health status prior to her crushing injury After your primary and secondary examination - what is the stability or instability pattern of her pelvic injury exactly?
No GU or GYN issues -based on what studies/examinations?
True inlet outlet and lateral (following AP crush) would be most helpful CT scan images of necessary anatomic points both anterior and posterior
My concern is overall pelvic stability in addition to the wound factors.
As an aside I found it interesting that you can place a Supra-acetabular frame, pelvic washout in the 'dead of night' but could you elaborate more on your decision not to proceed with more definitive treatment as you eluded to?
Thanks
Samuel G. Agnew MD FACS
Orthopaedic Trauma
|
[
Ответить ]
|
Re: Операция на переднем полукольце таза при налич
Отправитель: dan schlatterer 12 Июнь 2007, 04:51
|
hello sam
it is good to hear from you. this lady is an independent ambulator, lives alone, drives a pick-up truck (which ran her over), and she is healthy. GYN pelvic exam was completed pre-operatively and CT scan with contrast did not show any bladder/urethral leaks. no blood has ever been noted from foley catheter or from the vagina. pretty amazing given the diastasis.
in terms of stressing the pelvis intra-operatively to assess overall stability, the trauma AP pelvis and CT scan provided plenty of info. I suppose one could stress the vertical stability, but again to what end? this pt had nearly 8cm of diastasis. rotational instability was a given. in terms of a lateral pelvic xray, I cannot say that besides a false profile lateral for hip dysplasia, I am not aware of lateral pelvic xrays for pelvic ring disruptions. if this is something that you do I would be interested in seeing an xray or two.
your final question is a good one. why not place the SI screws at the time of the I/D and pelvic ex-fix. the time involved is not that great. I place a lot of SI screws (at least I think I do although I am sure others place more) and they can take very little time. no one factor made the decision. it was a combo of poor fluoro (views and tech), time from injury, meaning these pts can turn suddenly for the worse. so I started to feel that we were pushing too much (pts' pressure was up/down, she was getting blood, etc), and so on. if I stayed in the OR longer and the pt crashed (which I have seen) questions would arise. If I left the OR and the pt had no further problems and retrospective it looked like I could have stayed in the OR longer then questions would arise. in the middle of the night I am happy (relatively) to work but the goals of this case (emergent I/D and pelvic stabilization) were met so I decided not to proceed any further. for a lot of folks this will not be acceptable but to me less was more.
thank you for your input.
dan schlatterer
|
[
Ответить ]
|
Re: Операция на переднем полукольце таза при налич
Отправитель: Sam Agnew 13 Июнь 2007, 05:29
|
Dan
Lateral sacral or pelvic films was suggested based on the mechanism-crushed between vehicle and pavement- and not based on diastasis seen on admission, additionally a lateral sacral view for sacral dysplasia i always a good idea when attempting bilateral iliosacral screw stabilization, nes paux?
Thanks for the clinico-pathologic update
Samuel G. Agnew MD FACS
Orthopaedic Trauma
|
[
Ответить ]
|
|
( Ответить )
|
|