Ответить
|
Re: Дефект тканей
vladimir 26 Март 2005, 09:12
|
ув.Джолдас Кульджанов . Дальнейшее ведение я думаю открытое раны с последующей пластикой свободным кожным лоскутом. с ув. старостенко владимир. харьковская обл. украина.
|
[
Ответить ]
|
Re: Дефект тканей
крылов андрей 27 Март 2005, 11:50
|
Привет Джолдас.
Рана выглядет как после произведеной некрэктомии при ожоге.
Мне кажется надо заниматься пересадкой расщепленного свободного кожного лоскута. Обязательно будут очаги отторжения, но что-нибудь да и приживется. Тем самым уменьшится раневая поверхность. И так до полного закрытия раны.
Андрей
|
[
Ответить ]
|
Re: Дефект тканей
Дмитрий Калиновский 28 Март 2005, 22:40
|
Здравствуйте, Djoldas!
Конечно же, оптимальным методом является пластика свободным кожным лоскутом, однако достаточно большая площадь дефекта - где брать материал? Может быть, имеет смысл "вырастить" кожный трансплантат - не знаю, есть ли у Вас подобные лаборатории и клиники?
С уважением, Калиновский Д.К.
|
[
Ответить ]
|
Re: Дефект тканей
Павел. 30 Март 2005, 15:30
|
Ув.Джолдас!Должен вас огорчить.При таких! травмах внутрикостн./штифт/ и накостный/пластина/остеосинтезы не применяются!Это азбука. Только аппараты внешней фиксации,в данном случае-спицестержневой аппарат.При условии настоящей ПХО раны-рассечение,иссечение нежизн.тканей,фасциотомия!,промывание по Сызганову-Ткаченко,дренирование 2-3 активными!! дренажами,закрыть кость мягкими тканями,РАНУ НАГЛУХО НЕ ЗАШИВАТЬ!!!Или вообще не зашивать пока.
Привет.Павел.Н-Новгород.
|
[
Ответить ]
|
Re: Дефект тканей
Отправитель: Alexander Chelnokov 30 Март 2005, 19:59
|
Приветствую, коллеги, особенно Джолдас и Павел,
Wednesday, March 30, 2005, 4:27:40 PM, you wrote:
П> Ув.Джолдас!Должен вас огорчить.При таких! травмах внутрикостн./штифт/
П> и накостный/пластина/остеосинтезы не применяются!Это азбука.
;-))))))))))
Так ему, сердешному! Что творят, а?! Ишь, повадились в своих Америках-Швейцариях штифтовать при открытых переломах, и лет двадцать (или больше уже?) успешно пользуются! А азбуки и не знают! Может, правда, им и не сильно надо нашу азбуку, раз у них там "alphabet"?
П> Только аппараты внешней фиксации,в данном случае-спицестержневой
П> аппарат.
Потому что "мы так всегда делали, делаем, и делать будем!"
П> При условии настоящей ПХО раны-рассечение,иссечение
П> нежизн.тканей,
Похоже, снимок как раз после повторной обработки и сделан.
П> фасциотомия!,промывание по
П> Сызганову-Ткаченко,дренирование 2-3 активными!! дренажами,
Чего ж там сейчас дренировать - все открыто...
П> закрыть кость мягкими тканями,РАНУ НАГЛУХО НЕ ЗАШИВАТЬ!!!Или вообще
П> не зашивать пока.
Вот этому совету следовать легко - насколько видно, там и при сильном желании не стянуть, даже ногой упираясь. Джолдас, наверняка сделали что-то красивое? Мне кажется, идеально было бы сделать пластику с применением микрососудистой техники. При такой площади дефекта двух лопаточных или торако-дорсальных лоскутов как раз бы должно было хватить.
|
[
Ответить ]
|
Re: Дефект тканей
Отправитель: Evgueny Tchekashkine 31 Март 2005, 09:11
|
Потрясающе!!!!
Вот ведь , где оказывается собака зарыта.:-))
Если бы проводился конкурс на форуме на лучшее сообщение:-))
ТО приз бы заслуженно должен быть вручен Павлу.
Как раз напомнили о случае: в одном госпитале ( в предоперационной) я видел на стене доску с прикрепленным игрушечным револьвером. Который являлся переходящим трофеем для наиболее "отличившихся" на неделе хирургов:-))
Надеюсь Павел не обидется( даже в помыслах не было) Наоборот, спасибо за разрядку
Всего Доброго,
Евгений Чекашкин
|
[
Ответить ]
|
Re: Дефект тканей
Отправитель: Djoldas Kuldjanov 02 Апрель 2005, 13:44
|
Пожалуйста, Павел, обьясните мне, чем отличается обработка по Сызганову-Ткаченко от обычной хирургической обработки загрезненных ран? Куда установить 2-3 активных дренажа, если Вы рекомендуете раны не закрывать?
Джолдас
|
[
Ответить ]
|
|
Re: Дефект тканей
А.В.Владзимирский 31 Март 2005, 12:43
|
Уже прошло много времени, думаю пациента уже неким образом полечили. Но все же.
Я показал фото нашим микрохирургам.
Предложены варианты: 1) Свободная кожная пластика полнослойными лоскутами (вторая нога? спина?). 2) Выращивание искусственной кожи. 3) Выкроить полнослойный кожный лоскут вблизи проксимального отдела раны (на ножке) и закрыть им верхнюю часть раны. Новый дефект закрыть кожными лоскутами с противоположного бедра. Паралелльно с этим попробовать наложить вторичные швы в нижнем отделе раны.
|
[
Ответить ]
|
Re: Дефект тканей
Djoldas Kuldjanov 01 Апрель 2005, 18:40
|
Всех благодарю за присланные рекомендации.
03.14.2005
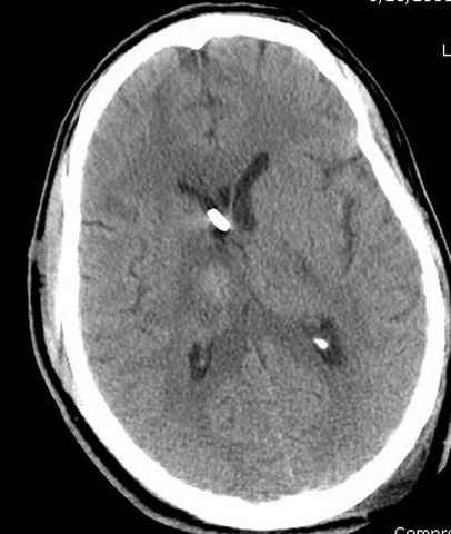
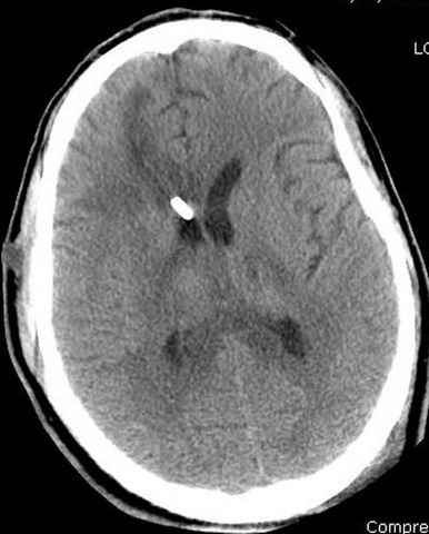
больному 42, автоавария, политравма, открытая черепномозговая травма, безсознании, открытый перелом бедра, размозжение мягких тканей, дефект кожи на передней поверхности бедра около 13 см2 от ожога, компартмент синдром.
По поводу открытого перелома больной ургентно взят на ретроградное интрамедулярное штифтование, после рутинного дебрайдмента и фасциотомии на бедре и на голени.
Наблюдается службой травмы и нейрохирургии (ICP) Increased Intracranial Pressure by ventricular cateter
03.19.2005 дебрайдмент - закрытие медиальной раны
03.24.2005 закрытие латеральной раны и кожная пластика на бедре вызванным специалистом (plastic surgeon)
03.28.2005 вена кава фильтер, для профилактики ДВТ
больной без сознания, со слов нейрохирурга, наблюдается положительная динамика в нейрохирургическом статусе.


 перелом бедра
|

 интраоперационные
|

 постоперационные
|


 монииторинг
|
 вид медиальной фасциотомии
|
 вид латеральной фасциотомии
|
 закрытие медиальной фасциотомии
|

 натягивающее резиновые швы
|
 перед кожной пластикой
|
 закрытие латеральной стороны
|


 кожная пластика
|



 закрытие ваккуум
|
|
[
Ответить ]
|
Re: Дефект тканей
Отправитель: Vitaly Kazennov 01 Апрель 2005, 23:46
|
Уважаемый Джолдас,
У нас принят термин ПХО -- чуть ли не со времен Халхин-Гола. Дебрайдмент -- это как бир или шузы вместо пива или ботинок. Тоже понятно, но больно уж
стремно.
Формат дат тоже сбивает с толку.
Виталий Евгеньевич Казеннов
|
[
Ответить ]
|
Re: Дефект тканей
Отправитель: Alexander Chelnokov 01 Апрель 2005, 23:48
|
ДЦт> У нас принят термин ПХО -- чуть ли не со времен Халхин-Гола. Дебрайдмент --
ДЦт> это как бир или шузы вместо пива или ботинок.
Интересно, почему это французское слово стало общеупотребимым и в англоязычной среде, и статьях на других языках тоже встречается?
ДЦт> Формат дат тоже сбивает с толку.
Вроде обычное американское MM-DD-YY...
|
[
Ответить ]
|
Re: Дефект тканей
Отправитель: Vitaly Kazennov 01 Апрель 2005, 23:49
|
> Интересно, почему это французское слово стало общеупотребимым и в
> англоязычной среде, и статьях на других языках тоже встречается?
А по незнанию англоязычной средой нашей литературы. У них и Маркони радио
изобрел.
> Вроде обычное американское MM-DD-YY...
Я однажды лежал в одной палате в Пушкино с то ли монголом, то ли с
афганцем, сейчас уже и не помню, так он писал даты через слэдж да еще и
овальчиком обязательно обводил. Может, опять перейдем на у.е. вместо рублей?
Когда 03.29.05 -- понятно. А когда 03.04.05 -- как определить что есть что
без маркировки [USA]?
Не слишком ли мы приседаем по мелочам, где надо и где не надо?
Best wishes,
Vitaly E. Kazyonnov (вариант написания моей фамилии по аналогии с Yeltsin
или как его там, дом Ипатьева у вас в свое время уничтожил и самый высокий
во Вселенной обком партии отгрохал, за что и был обласкан и приближен ко
столу...)
|
[
Ответить ]
|
Re: Дефект тканей
Отправитель: Alexander Chelnokov 01 Апрель 2005, 23:55
|
ДЦт> А по незнанию англоязычной средой нашей литературы.
Но уж свою-то, англоязычную, они явно знают, да и куда как побольше ее у них, чем у нас русскоязычной, однако предпочли заимствовать французский термин. Отчего бы так?
ДЦт> Я однажды лежал в одной палате в Пушкино с то ли монголом, то ли с
Конечно, лучше было не стараться понять его "как есть", а настойчиво тыкать носом, мол, басурман, гутаришь и дату пишешь не по-нашему!
;-))
ДЦт> Когда 03.29.05 -- понятно. А когда 03.04.05 -- как определить что есть что
ДЦт> без маркировки [USA]?
Конечно. В таких случаях лучше писать название месяца буквами.
ДЦт> Не слишком ли мы приседаем по мелочам, где надо и где не надо?
А найдется что сказать, Виталий Евгеньевич, по содержанию представленной коллегой Кульджановым тактики лечения у этого непростого больного? Или поддадимся весеннему обострению ксенофобии и ограничимся ворчанием по поводу инозмного формата даты да непривычного названия хирургической обработки? Поди, они и лечат как-то не так, как в наших краях только правильно принято? Все-таки, чем бы отличалась лечебная тактика в местах, где дату пишут в правильном формате ДД-ММ-ГГ, а ихний debridement называют единственно верным словом "ПХО"?
|
[
Ответить ]
|
Re: Дефект тканей
Отправитель: Alexey Mozgounov 02 Апрель 2005, 11:31
|
ДЦт> У нас принят термин ПХО -- чуть ли не со времен Халхин-Гола. Дебрайдмент --
ДЦт> это как бир или шузы вместо пива или ботинок.
Ну при чем здесь жаргонные словечки шузы и бир, если есть вполне официальные заимствования типа SMS, Интернет(интернет?), недавно упомянутый "спеллер" etc?
Звучание "дебрайдмент" действительно несколько режет слух...
Когда впервые я встретил в тексте форму "debridement" (первое "e" с косой черточкой) то прочитал ее как "дебридмент".
Именно в такой форме данное слово встречется в рунете на 2 страницах Google, а в форме "дебрайдмент" - единократно (1 ссылка).
Так что не только я один надо думать так прочитал.
А что скажут те, кто учил фанцузский?
а корни надо думать из латыни? Жаль что словарь на другой квартире, посмотрел бы...
Насчет Халкин-Гола...
Лично читал о "дебридменте" у кого-то из русских ортопедов (в том смысле, что не у одного) начала 20 в. (Волкович, например? нет, точно не помню...). Видимо потом "ПХО" где-то посчитали более благозвучным и политически правильно-грамотным, хотя сколько раз до сих пор данная аббревиатура неблагозвучно склонялась и склоняется...
А вообще...
Как без подобных заимствований обойтися?
в настоящее время? Вот ведь "проксимальный", "дистальный", "варус", "вальгус" etc мы употребляем направо и налево...
А чем "дебридмент" плох? Особенно еже ли 100 лет назад прецедент был? Мне, например, очень нравятся
"импинджмент" вместо "хронического соударения одной кости о другую" или "pivot shift симптом" вместо "симптома смещения точки опоры", или
"ангуляция в <такую-то сторону>" вместо "угол, открытый <туда-то>" и пр.
или термины "портал", "баскет" в артроскопии (а ведь можно было назвать и по-другому?)
Хотя, действительно в некоторых случаях, как то "интремедуллярный нэйлинг", гораздо более благозвучно звучит "интрамедуллярное штифтование"...
|
[
Ответить ]
|
Re: Дефект тканей
Отправитель: Alexander Artemiev 02 Апрель 2005, 12:08
|
Здравствуйте.
AVM> Насчет Халкин-Гола...
AVM> Лично читал о "дебридменте" у кого-то из русских ортопедов (в том
AVM> смысле, что не у одного) начала 20
AVM> в. (Волкович, например? нет, точно не помню...).
Оппель В.А. Дневники хирурга Первой мировой войны. / Спб,: ВМедА, 2001.-336 с.
Цитирую: "Костное отверстие расширено, артерия обколота. Вчера же произвел дебридемен огнестрельного перелома бедра; кость раздроблена совершенно. Масса осколков. Конечно, будет ложный сустав." (с.31-32)
Как вы понимаете из названия, дневники писаны не в 2001 году. Хотя читаны действительно лишь в 2001 году - после опубликования.
AVM> Видимо потом "ПХО" где-то посчитали более благозвучным и политически
AVM> правильно-грамотным, хотя сколько
AVM> раз до сих пор данная аббревиатура неблагозвучно склонялась и склоняется...
Она (или оно) просто употребляется не по делу.
Но зачем придираться к нашим зарубежным коллегам.
Мы же понимаем о чем речь.
Прекрасные наблюдения.
Удачи.
Александр Артемьев
|
[
Ответить ]
|
Re: Дефект тканей
Отправитель: Alexey Mozgounov 02 Апрель 2005, 11:32
|
AC> Вроде обычное американское MM-DD-YY...
Ну в принципе действительно не совем удобно.
:-)
Если форум русскоязычный...
Если человек говорит по-русски...
То в принципе в датах не плохо было бы действительно
поменять ММ с DD местами...
????
Ладно бы даты стояли на фотографиях или в их названиях.
А здесь как бы в тексте писалось...
Тем более что на фото's была друга форма
YY-MM-DD...
Но это все так, мелочи...
:-)
|
[
Ответить ]
|
Re: Дефект тканей
Отправитель: Alexander Chelnokov 02 Апрель 2005, 11:49
|
ДЦт>>> Формат дат тоже сбивает с толку.
AC>> Вроде обычное американское MM-DD-YY...
AVM> Ну в принципе действительно не совем удобно.
AVM> :-)
AVM> Если форум русскоязычный...
AVM> Если человек говорит по-русски...
То это не значит, что в сообщениях не могут встретиться особенности, обусловленные окружающей средой.
AVM> Но это все так, мелочи...
AVM> :-)
Вот именно. IMHO подобные мелкие придирки - не по существу обсуждаемой темы - могут снижать у участников мотивацию высказаться.
Вряд ли кому приятно, когда его публично поучают, какие принято говорить слова и какие писать буквы и цифры в той местности, где поучающий имеет счастье процветать.
В конце концов, нет никакой проблемы создать аналогичный форум для обсуждения проблем правописания. И еще один для флейма. А этот оставим для ортопедо-травматологических проблем. ;-)
|
[
Ответить ]
|
Re: Дефект тканей
Отправитель: Djoldas Kuldjanov 02 Апрель 2005, 13:42
|
Виталий Евгеньевич,
спасибо за урок, критику принимаю, постараюсь исправится. Уточнения: даты написаны автоматически и надо читать 14-19-24-28 Марта 2005 года, также хирургическая обработка вместе дебрайдмент. (фотографии рентгенограмм скопированы с цифрового ренгенологического архива, извините за качество)
С уважением Джолдас
Кульджанов
|
[
Ответить ]
|
Re: Дефект тканей
Отправитель: Alexey Mozgounov 02 Апрель 2005, 11:53
|
DK> №11 вид медиальной фасциотомии
DK> №12 вид латеральной фасциотомии
А вы всем так радикально выполняете фасциотомию?
Или в зависимости от каких-то объективных (p?) показателей?
DK> №13 закрытие медиальной фасциотомии
DK> №13А-14 натягивающее резиновые швы
А что за резина?
Чем по вашему мнению ее можно заменить в наших условиях для схожего конечного результата?
Не могли бы вы схематично (рис., текст...) изобразить порядок наложения данного резинового шва, а также технику его сятгивания?
И если можно - ссылки на литературу...
Во избежание писем о том, что "все это давно известно! вы вообще литературу то читаете?! и пр." (Джолдас, это не к вам), сразу оговорюсь - "ну не знаю я этого. И в своем городе такого не видел."
Кажется, о чем то таком недавно говорилось, но наверное я прослушал...
|
[
Ответить ]
|
Re: Дефект тканей
Отправитель: Alexander Chelnokov 02 Апрель 2005, 12:06
|
Мне очень понравилсоь - столько активных (и результативных!) действий в довольно сжатое время!
DK> 03.24.2005 закрытие латеральной раны и кожная пластика на бедре
DK> вызванным специалистом (plastic surgeon)
Свободная пластика на негранулирующую поверхность - это обычное дело?
Когда снимаете повязки? Что с коленом? Проводятся ли пассивные упражнения для поддержания движений? С какого времени после остеосинтеза, пластики? С какой ампитудой? Как делаются технически - аппарат CPM, персонал руками?
DK> 03.28.2005 вена кава фильтер, для профилактики ДВТ
На чем основано решение поставить фильтр? Выявлены тромбы в голени? Что-то с гемостазом по анализам? Вообще всем с длительным постельным режимом?
Спасибо за очень интересную презентацию.
|
[
Ответить ]
|
Re: Дефект тканей
Отправитель: Evgueny Tchekashkine 02 Апрель 2005, 17:20
|
Джолдас, Добрый день,
Спасибо за презентацию.
Мне интересно знать, почему пластический хирург убрал резиновые тяги и выполнил свободную кожную пластику ? Что его не устраивало? размер раневой поверхности на бедре после наложения тяг значительно уменьшился и в перспективе, надеясь на естественную эластичность кожи, можно было ожидать закрытия дефекта с лучшим косметическим результаттом, без донорской раны.
С наилучшими пожеланиями,
Евгений И Чекашкин
|
[
Ответить ]
|
|
Re: Дефект тканей
Djoldas Kuldjanov 04 Апрель 2005, 23:37
|
Уважаемые коллеги,
Отвечаю на все вопросы одним письмом.
>А вы всем так радикально выполняете фасциотомию? Или в зависимости от
>каких-то объективных (p?) показателей?
-После мониторинга на компартмент синдром, если давление в компарменте высокое, более 40 мм разницы между диастоличеcким давлением, то фасциотомия.
 снимок монитора
|
(обещанный материал по компартмент синдромам, отправленный Артемьеву, вернулся через два с половиной месяца, буду в Москве в ЦИТО 17-18 мая, захвачу несколько копий).
>А что за резина?
-Обычная для держалок сосудов и нерва.
> Чем по вашему мнению ее можно заменить в наших условиях для схожего
> конечного результата?
- широкой резиновой лентой, применяемой для обескровливания конечностей.
> Не могли бы вы схематично (рис., текст...) изобразить порядок
> наложения данного резинового шва, а также технику его сятгивания? И
> если можно - ссылки на литературу...
-Насчет литературы не знаю, порядок наложения кто как может, хотя считается равномерное натяжение можно получить по типу шва как на обуви, фиксируем по краям стейпл (staple) швом. Из предыдущих дискуссий коллеги из России показали результаты применения спиц с петлей.
>Свободная пластика на негранулирующую поверхность - это обычное дело?
-Да.
>Когда снимаете повязки?
-После кожной пластики делаем ваккумирование 3-4 дня, затем снимаем повязку.
>Что с коленом? Проводятся ли пассивные упражнения для поддержания
>движений? С какого времени после остеосинтеза, пластики? С какой
>амплитудой? Как делаются технически - аппарат CPM, персонал руками?
-В норме после остеосинтеза бедра аппарат CPM (Continuous Passive Motion machine) на второй день, если имеется дренаж - сразу после удаления, амплитуду начинаем с 30 градусов сгибания и разгибания с ежедневным увеличением.
Восстановление движений в суставе после кожной пластики обычно через 10-12 дней, в данном случае с разрешения хирурга.
>На чем основано решение поставить фильтр? Выявлены тромбы в голени?
>Что-то с гемостазом по анализам? Вообще всем с длительным постельным
>режимом?
-Больным с политравмой, с избытком веса и всем с длительным постельным режимом, мы рекомендуем профилактику тромбоза Greenfield Filter, который ставится в вену кава.
>Мне интересно знать, почему пластический хирург убрал резиновые тяги
>и выполнил свободную кожную пластику ? Что его не устраивало? размер
>раневой поверхности на бедре после наложения тяг значительно
>уменьшился и в перспективе, надеясь на естественную эластичность
>кожи, можно было ожидать закрытия дефекта с лучшим косметическим
>результаттом, без донорской раны.
-Согласен, рана до прихода пластического хирурга была 38х13 см, можно было постараться закрыть сверху, а в нижнем отделе где был ожог, применить кожную пластику меньшим размером. К моему удивлению и разочарованию, когда вернулся из другой операционной (шли пареллельные операции), он уже успешно заканчивал свое дело. Кстати недавно разговаривал с нейрохирургом, он снял ICP (intracranial prеssure monitor), внутричерепное давление стабилизировалось, ортопеды и хирурги закончили с лечением, теперь длительное неврологическое восстановление.
Было множество случаев, когда безнадежные больные с повреждением головного мозга через пару месяц приходили в сознание, поэтому уделяем внимание на ургентность стабилизации переломов костей скелета.
С уважением
Джолдас Кульджанов
|
[
Ответить ]
|
( Ответить )
|
|